طب وصحة
		
	
	
مستشفى عين التمر العام في كربلاء يجري عملية لاستئصال ورم عظمي نادر من رسغ شاب يبلغ من العمر 20 عاماً

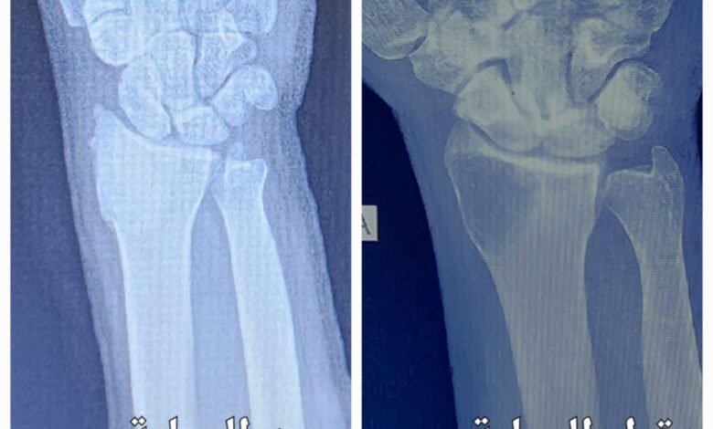
أجرى فريق طبي في مستشفى عين التمر العام بكربلاء المقدسة عملية جراحية فوق الكبرى لشاب يبلغ من العمر 20 عاماً، كان يعاني من آلام شديدة في الرسغ الأيسر.
وأوضحت إدارة المستشفى أن الفحوصات الشعاعية والرنين المغناطيسي أظهرت وجود ورم عظمي مع تآكل في أسفل عظم الكعبرة. وبعد استكمال جميع التحضيرات الطبية واستشارة طبيب التخدير، أُجريت العملية التي تكللت بالنجاح التام. وشملت العملية رفع الورم، وجرف باطن الرسغ، وكي جدار الورم، ووضع عجينة إسمنتية عظمية، مع الحفاظ الكامل على المفصل.
وأضافت الإدارة أن المريض تمكن من تحريك الرسغ مباشرة بعد الجراحة، وهو الآن يتمتع بصحة جيدة، مع متابعة دقيقة لحالته الصحية حتى تماثله للشفاء التام تدريجيًا ومغادرته المستشفى
 
				 
					 
					


